Book Now
Optical Coherence Tomography

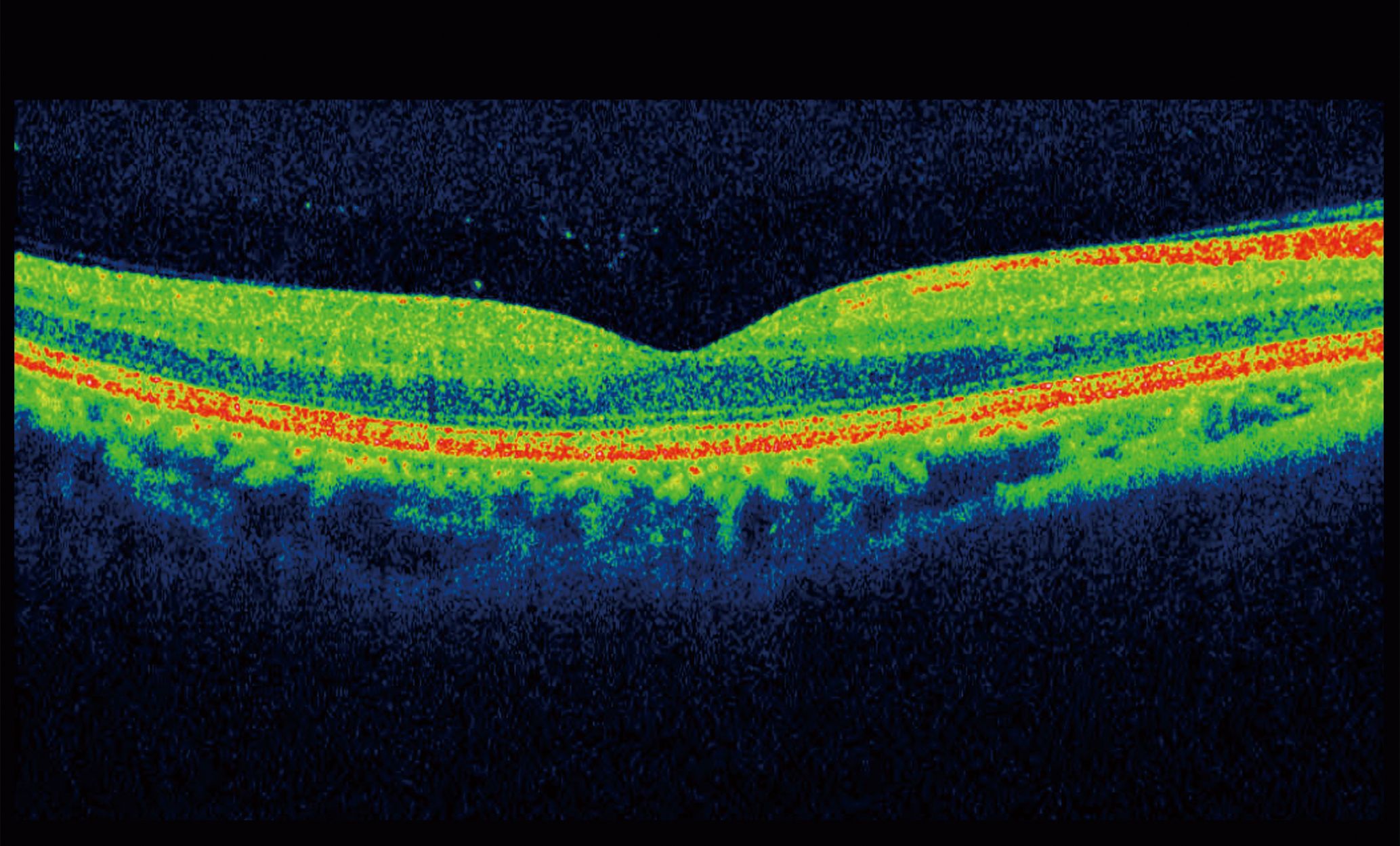
An Optical Coherence Tomography (OCT) scan can scan both the retina, and the optic nerve, it is quick, safe and painless and it shows your optometrist the layers underneath your retina, something that they would not be able to see in anyway in a basic eye test, but can show in detail how healthy your eyes are, and help us to monitor the health of your eyes to find signs of any problems earlier, meaning that we can advise you and if necessary help you to get any necessary treatments.

BOOK AN APPOINTMENT
RE-ORDER CONTACT LENSES
BOOK DRY EYE PHONE CALL
BOOK CONTACT LENS PHONE CALL

Fill in this form and we’ll get back to you as soon as we can.

Or give us a call on
01837 52910




IF YOU HAVE AN EYE EMERGENCY PLEASE CALL US DIRECTLY ON THE NUMBER ABOVE.

    Appointment type:

    Have you been to us before?

    NoYes

    Are you a member of our eye plan?

    NoYes

    I consent to having Okehampton Eyecare collect and store my personal information via this form and contact me via phone and/or email.

      Have you been to us before?

      NoYes

      Are you a member of our eye plan?

      NoYes

      I consent to having Okehampton Eyecare collect and store my personal information via this form and contact me via phone and/or email.

        Have you had a recent eye examination?

        NoYes

        Have you tried any dry eye treatments before?

        NoYes

        I consent to having Okehampton Eyecare collect and store my personal information via this form and contact me via phone and/or email.

          Have you had a recent eye examination?

          NoYes

          Have you tried contact lenses before?

          NoYes

          I consent to having Okehampton Eyecare collect and store my personal information via this form and contact me via phone and/or email.